病気

それ緊急です!!ー胃拡張捻転症候群ー

胃拡張捻転症候群は、何らかの原因により胃が拡張し捻れることで、急性にショック状態となる病気で、早急に対処しないと発症から数時間で死に至ることもあります。また、捻れによって胃が壊死することもあり、捻転の程度によっては周囲の臓器(膵臓や脾臓)を巻き込むこともあります。

胃拡張捻転症候群は明確な発生機序がわかっていません。ですが、疫学的に発生率が高い要因があるので以下にそれらを示します。

危険因子

ジャーマン・シェパード、グレート・デーン、スタンダード・プードル、ラブラドール・レトリーバー、秋田犬、ゴールデン・レトリーバー、セント・バーナード、ドーベルマン、チャウ・チャウなどの胸の深い大型犬が好発と言われています。ただし、ダックスフンド、コッカー・スパニエル、ボストン・テリアなどの小型犬も発症が多々あります。特に中高齢で未去勢オスでも発生が多い傾向にあるという報告もあります。

食事においては、細かい粒状のドッグフードの摂取、1日1回の食事、食べ過ぎ、食後すぐの運動などが胃拡張を誘発する要因となりえます。

その他、胃の運動障害、炎症性腸疾患、脾臓摘出、胃内異物などから胃拡張に至るケースもあります。

症状

実際に胃拡張捻転症候群を発症した際、緊急疾患であるためどのような症状が出るか把握しておきましょう!

  • お腹が張っている(特に食後)
  • 何回もえずくが吐けない
  • 多量のよだれ
  • 呼吸が早い
  • 重度では意識混濁、横臥状態

診断

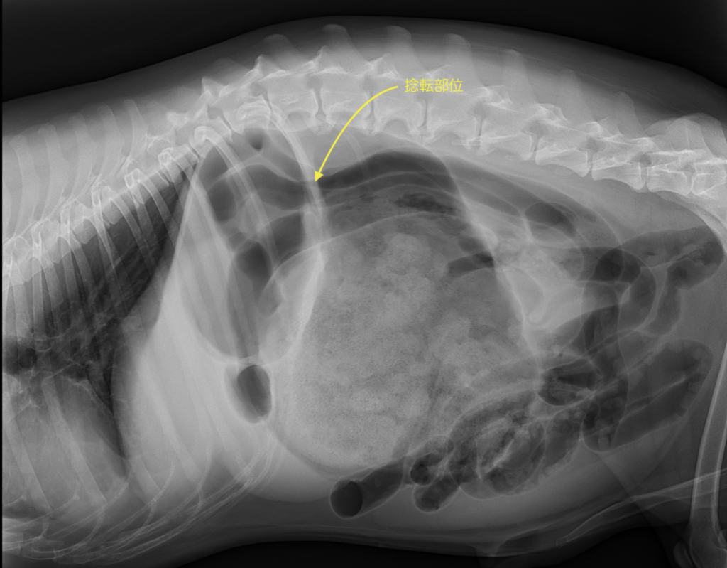
胃拡張捻転症候群を疑った際は、第一にレントゲンを撮影します。その後状態の把握のために血液検査、血圧測定、心電図検査、エコー検査を追加します。下の写真は胃拡張を起こし、捻転まで至った画像になります。

治療

ショック状態に至った症例では血管確保をし、静脈内点滴にて状態の安定化を図ります。胃の減圧においては、胃チューブの挿入を実施するか、針によってガスを抜去します。捻転が起こっている症例では外科手術による整復と、その後再発を防ぐために胃腹壁固定術を実施します。脾臓を巻き込み壊死が予想される場合は脾臓摘出も実施します。

予後

胃拡張捻転症候群は治療を実施したにも関わらず、死亡率は20〜45%と言われているので、術後も経過要注意となります。早急に対処し、退院に至った症例は基本的に予後は良好とされています。胃腹壁固定を実施した症例でも10%未満は再発することもありますので、退院後も普段の生活から注意する必要がでるでしょう。

胃拡張を起こさせないために

胃拡張の危険因子から再発しないための管理法を考えましょう。

  • 大きい粒のドッグフードを選ぶ
  • 食事を1日2~3回に分ける
  • 一度に多量のフードを与えない
  • 早食いさせないようにする(食器を早食い防止のものに変更するなど)
  • 食後の運動を避ける
  • 食器の位置を高くしない

以上が胃拡張捻転症候群の説明になります。危険因子と症状を把握し、どれだけ早く病院に連れて行けるかが重要となりますので、少しでも疑ったら迷わず動物病院へ駆け込みましょう!

獣医師 日向野